Recombinant Human Glucagon receptor(GCGR),partial (Active)
Recombinant Human Glucagon receptor(GCGR),partial (Active)

Western blot analysis of beta actin in COS7, Jurkat, C6 and 3T3 lysates using beta actin antibody (1:5000 diluted).

Recombinant Human Glucagon receptor(GCGR),partial (Active)
Cat:
GS13247
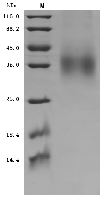
(Tris-Glycine gel) Discontinuous SDS-PAGE (reduced) with 5% enrichment gel and 15% separation gel.
Type:
Protein
Alias:
(GL-R)
Expressed Host:
Mammalian cell
Species:
Homo sapiens (Human)
Price:
  • Product details
Product Name
Recombinant Human Glucagon receptor(GCGR),partial (Active)
Cat
GS13247
Expression Region
Uniorot ID:P47871(26-136aa)
Alias
(GL-R)
Expressed Host
Mammalian cell
Species
Homo sapiens (Human)
Tag
N-terminal 10xHis-tagged and C-terminal Myc-tagged
Purity
Greater than 95% as determined by SDS-PAGE.
Endotoxin
Less than 1.0 EU/ug as determined by LAL method.
Buffer
Lyophilized from a 0.2 μm filtered 20 mM Tris-HCl, 0.5 M NaCl, 6% Trehalose, pH 8.0
Biological activity
Measured by its binding ability in a functional ELISA. Immobilized human GCGR at 2 μg/mL can bind Anti-GCGR recombinant antibody (CSB-RA009316A1HU), the EC50 is 3.747-6.666 ng/mL.
Storage
We recommend that this vial be briefly centrifuged prior to opening to bring the contents to the bottom. Please reconstitute protein in deionized sterile water.We recommend to add 5-50% of glycerol (final concentration) and aliquot for long-term storage at -20℃/-80℃. Our default final concentration of glycerol is 50%. Customers could use it as reference.
Type
Protein
Purposes
For research use only