Myc Monoclonal antibody
Myc Monoclonal antibody
Myc Monoclonal antibody

Western blot analysis of beta actin in COS7, Jurkat, C6 and 3T3 lysates using beta actin antibody (1:5000 diluted).

Myc Monoclonal antibody
Cat:
GS20008
Type:
Antibody
Immunogen:
bHLHe39,c Myc,MRTL,MYC,Myc proto oncogene protein,MYC tag,Proto oncogene c Myc,Transcription factor p64
Immunofluorescence staining of transfected HEK293 cells with GS20008 at 1:100, counter-stained with DAPI. The cells were fixed in 4% formaldehyde, permeabilized using 0.2% Triton X-100 and blocked in 10% normal Goat Serum. The cells were then incubated with the antibody overnight at 4°C. The secondary antibody was Alexa Fluor 488-congugated AffiniPure Goat Anti-Mouse IgG(H+L).
Reactivity:
EQKLISEEDL
Applications:
ELISA, WB, IF, IP; Recommended dilution: WB:1:500-1:5000, IF:1:100-1:300, IP:1:1000-1:1500
Price:
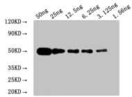
WB: Mouse anti Myc-tagged fusion protein Monoclonal antibody at 1.6μg/ml; Secondary: Goat polyclonal to Mouse IgG at 1/50000 dilution
  • Product details
Product Name
Myc Monoclonal antibody
Cat
GS20008
Heavy chain
/
Light chain
/
Isotype
IgG1
Host
Mouse
Purity
>95% by SDS-PAGE
Endotoxin
/
Immunogen
bHLHe39,c Myc,MRTL,MYC,Myc proto oncogene protein,MYC tag,Proto oncogene c Myc,Transcription factor p64
Reactivity
EQKLISEEDL
Applications
ELISA, WB, IF, IP; Recommended dilution: WB:1:500-1:5000, IF:1:100-1:300, IP:1:1000-1:1500
Conjugated
Non-conjugated
Buffer
Preservative: 0.03% Proclin 300;Constituents: 50% Glycerol, 0.01M PBS, PH 7.4
Storage
store at -20°C or -80°C. Avoid repeated freeze.
Type
Antibody
Purposes
For research use only