CD205, encoded by the LY75 gene (lymphocyte antigen 75, DEC-205), is a surface polysaccharide receptor whose cytoplasmic domain contains protein motifs critical for endocytosis and post-binding internalization. It is known to function as a surface receptor on apoptotic and necrotic cells, leading to antigen uptake and processing. CD205 has a rapid internalization rate and exhibits favorable characteristics regarding differential expression between tumor and healthy tissues, making it a potential new target for ADCs.

(Data source: Damian TR , et al. Haematologica. 2020)
Characteristics of CD205
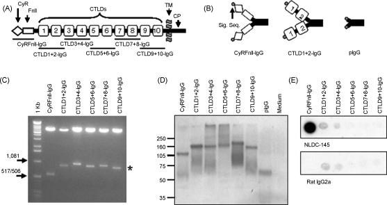
CD205 is an endocytic type I C-type lectin-like transmembrane glycoprotein molecule with a long chain of 1722 amino acids. Its extracellular portion (28-1666aa) contains an N-terminal cysteine-rich domain (CyR), a fibronectin type II domain (FnII) and 10 domains that are structurally (although not necessarily functionally) similar to C-type lectin domains (C-type lectin-like domains, CTLDs).


(Data source: Uniprot)
CD205 is expressed in spleen, thymus, colon, and peripheral blood lymphocytes and has been detected in myeloid and B lymphocyte lineages. It is widely expressed in lymphoma cells and leukocytes, so target antigen expression can be expected in most tumors and/or their microenvironment.

(Data source: The Human Protein Atlas)
CD205 signaling regulation
The role of CD205 in antigen uptake, processing, and presentation has been well characterized. CD205 is highly expressed in cortical thymic epithelial cells, thymic medullary dendritic cells (CD11c+ CD8+), and subsets of peripheral dendritic cells (CD11c+ CD8+ splenic/lymph node dendritic cells, skin/stromal dendritic cells, and Langerhans cells). Studies of CD205 function have largely relied on monoclonal antibodies as surrogate ligands. Studies have shown that when antigens are targeted to dendritic cells via anti-CD205 antibody conjugation, they are internalized, processed, and efficiently presented on both MHC class I and MHC class II molecules (cross-presentation).

(Data source: Jessica B , et al. Antibodies. 2022)
Rachel et al. created a series of CD205–IgG fusion proteins that cover the extracellular portion of CD205 and used these fusion proteins to identify the physiological distribution of CD205 ligands. Our data indicate that two regions of the CD205 molecule, located within C-type lectin-like domains (CTLDs) 3+4 and 9+10, recognize ligands expressed during apoptosis and necrosis in various cell types and are also expressed by living cells of the DC2.4 dendritic cell lineage. Therefore, CD205, as a receptor for recognition of dying cells, may provide an important pathway for the uptake of self-antigens within the thymus and in peripheral tolerance.

(Data source: Rachel ES , et al. Mol Immunol. 2009)
CD205- targeted therapy
OBT076 /MEN1309, a CD205-targeting antibody-drug conjugate developed by Oxford BioTherapeutics, is currently in Phase 1b clinical trials. It employs a potential dual mechanism of action, not only directly targeting cancer cells but also reactivating the patient's immune system. By depleting immunosuppressive dendritic cells, OBT076 has the potential to reactivate the immune system, promoting the induction and activation of T cells to enhance anti-tumor responses. OBT076 has shown promising monotherapy activity in a Phase 1b trial in patients with advanced solid tumors (NCT04064359).

(Data source: PatSnap)
